Thăm dò ý kiến
THỦNG RUỘT DO THÓI QUEN NGẬM TĂM TRE
Các bác sĩ Bệnh viện đa khoa Hoằng Hóa vừa tiếp nhận và phẫu thuật thành công ca phẫu thuật cấp cứu bệnh nhân nam N.V.A 75 tuổi, Hoằng Sơn, Hoằng Hóa, Thanh Hóa bị thủng ruột, nhiễm trùng ổ bụng do nuốt phải que tăm tre.
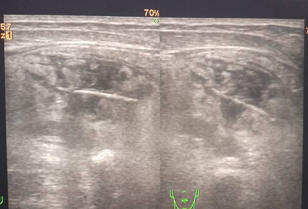
Hình ảnh viêm phúc mạc do dị vật( tăm tre) xuyên thành ruột
được phát hiện qua siêu âm (Bs Lê Thị Liễu cung cấp)
Được biết, người bệnh thường có thói quen ngậm tăm trong miệng sau khi ăn, thậm chí ngậm tăm khi đi ngủ. Người bệnh nhập viện trong tình trạng đau bụng đột ngột, dữ dội vùng thượng vị, sau đau lan ra khắp ổ bụng. Qua kết quả thăm khám lâm sàng, chụp X-Q, siêu âm phát hiện hình ảnh dị vật dài 30mm( nghĩ đến tăm tre), thành ruột quanh vị trí dị vật dày, xung quanh có thâm nhiễm mỡ diện rộng (nghĩ đến viêm phúc mạc).
Hình ảnh dị vật được mạc nối lớn đến bọc (Bs Mai Ngọc Luân cung cấp)
Từ ca phẫu thật trên, các bác sĩ khoa Ngoại BVĐK Hoằng Hóa cũng khuyến cáo. Người dân cần nhai kỹ trước khi nuốt, không nên cười đùa, xem tivi, điện thoại trong khi ăn; cẩn thận khi sử dụng tăm hằng ngày, không nên ngậm tăm, đặc biệt là khi nằm để tránh nuốt phải dị vật.
Tin bài: Phương Loan- Phòng CTXH
- THỦNG RUỘT DO THÓI QUEN NGẬM TĂM TRE
- BỆNH VIỆN ĐA KHOA HUYỆN HOẰNG HOÁ ĐIỀU TRỊ THÀNH CÔNG GÃY KÍN PHỨC TẠP MÂM CHÀY
- SỎI ĐƯỜNG TIẾT NIỆU, XIN ĐỪNG CHỦ QUAN
- BỆNH VIỆN ĐA KHOA HUYỆN HOẰNG HOÁ PHẪU THUẬT THÀNH CÔNG BỆNH NHÂN GÃY 3 MẮT CÁ CHÂN
- MỔ LẤY SỎI BÀNG QUANG TẠI BỆNH VIỆN ĐA KHOA HUYỆN HOẰNG HOÁ
- CẮT BAO QUY ĐẦU BẰNG MÁY SURKON (CÔNG NGHỆ STAPLER)
- HOÀN THIỆN KỸ THUẬT CAO VÀ CHUYÊN SÂU VỀ MỔ KẾT HỢP XƯƠNG BẰNG NẸP VÍT
Sáng: 7h30 - 11h30 | Chiều: 13h30 - 17h

